13 Clinton Ave., Cortland, NY, 13045
elitedental1315@gmail.com
Elite Dental and Dentures PC
Home
About
Testimonials
Smile Gallery
Patient Information
Patient Forms
Pay Online
Services
Cosmetic Dentistry
Dentures And Partials
Crowns And Bridges
Root Canals
Preventive Care
Tooth Extraction
Dental Implants
Blog
Contact
Need help?
Call us:
(607) 758-7700
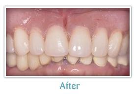
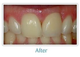
Smile Gallery
Porcelain Veneers
Dental Implants
Full Dentures
Gum Contouring
Call Us
Text Us
Accessibility Tools
Accessibility Tools
Increase Text
Increase Text
Decrease Text
Decrease Text
Grayscale
Grayscale
Invert Colors
Links Underline
Underline Links
Highlight Links
Readable Font
Readable Font
Reset